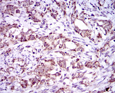
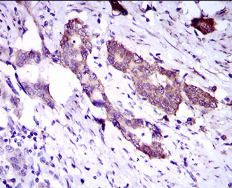
DNAL4单克隆抗体[3C24]

AccuSift
DNAL4 Mouse Monoclonal antibody[3C24]
PIG27
货号 名称 规格 价格 货期 数量
AC2092 DNAL4单克隆抗体[3C24] 50ug ¥1250 1周
AC2092 DNAL4单克隆抗体[3C24] 100ug ¥2200 1周

DNAL4 is a component of the dynein motor complex



Aliases:    PIG27    

Entrez GeneID :   10126    

Swissprot :   O96015     

WB Predicted band size:    12kDa    

Host/Isotype :   Mouse IgG1    

Species Reactivity:    Human    

Immunogen:    Purified recombinant fragment of human DNAL4 (AA: 1-105) expressed in E. Coli.    

操作说明

IHC    1/200 - 1/1000    

ELISA    1/10000    

参考文献