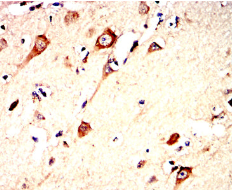
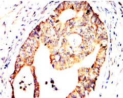
DLL3单克隆抗体[1H9C2]

AccuSift
DLL3 Mouse Monoclonal antibody[1H9C2]
SCDO1
货号 名称 规格 价格 货期 数量
AC2085 DLL3单克隆抗体[1H9C2] 50ug ¥1250 1周
AC2085 DLL3单克隆抗体[1H9C2] 100ug ¥2200 1周

This gene encodes a member of the delta protein ligand family. This family functions as Notch ligands that are characterized by a DSL domain, EGF repeats, and a transmembrane domain. Mutations in this gene cause autosomal recessive spondylocostal dysostosis 1. Two transcript variants encoding distinct isoforms have been identified for this gene.



Aliases :   SCDO1    

Entrez GeneID:    10683    

Swissprot:    Q9NYJ7    

WB Predicted band size:    65KDa    

Host/Isotype:    Mouse IgG1    

Species Reactivity:    Human    

Immunogen:    Purified recombinant fragment of human DLL3 (AA: extra 27-226) expressed in E. Coli.    

操作说明

IHC    1/200 - 1/1000    

FCM    1/200 - 1/400    

ELISA    1/10000    

参考文献