DKK3单克隆抗体[8A5C6]

AccuSift
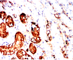
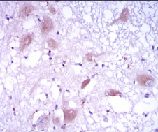
DKK3 Mouse Monoclonal antibody[8A5C6]
RIG; REIC
货号 名称 规格 价格 货期 数量
AC2081 DKK3单克隆抗体[8A5C6] 50ug ¥1250 1周
AC2081 DKK3单克隆抗体[8A5C6] 100ug ¥2200 1周

This gene encodes a protein that is a member of the dickkopf family. The secreted protein contains two cysteine rich regions and is involved in embryonic development through its interactions with the Wnt signaling pathway. The expression of this gene is decreased in a variety of cancer cell lines and it may function as a tumor suppressor gene. Alternative splicing results in multiple transcript variants encoding the same protein.


Aliases:    RIG; REIC    

Entrez GeneID:    27122    

Swissprot:    Q9UBP4    

WB Predicted band size:    38.3kDa    

Host/Isotype:    Mouse IgG1    

Species Reactivity:    Human,Mouse,Rat,Rabbit,Monkey    

Immunogen:    Purified recombinant fragment of human DKK3 (AA: 91-350 ) expressed in E. Coli.    

操作说明

WB    1/500-1/1000    

IHC    1/200 - 1/1000    

FCM    1/200 - 1/400    

ELISA    1/10000    

参考文献