DIS3L2单克隆抗体[6C7B2]

AccuSift
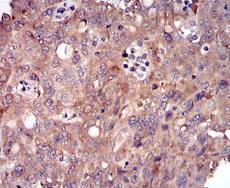
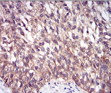
DIS3L2 Mouse Monoclonal antibody[6C7B2]
FAM6A; PRLMNS
货号 名称 规格 价格 货期 数量
AC2078 DIS3L2单克隆抗体[6C7B2] 50ug ¥1250 1周
AC2078 DIS3L2单克隆抗体[6C7B2] 100ug ¥2200 1周

The protein encoded by this gene is similar in sequence to 3'/5' exonucleolytic subunits of the RNA exosome. The exosome is a large multimeric ribonucleotide complex responsible for degrading various RNA substrates. Several transcript variants, some protein-coding and some not, have been found for this gene.



Aliases:    FAM6A; PRLMNS    

Entrez GeneID:    129563    

Swissprot :   Q8IYB7      

WB Predicted band size:    99.3kDa    

Host/Isotype:    Mouse IgG1    

Species Reactivity :   Human    

Immunogen :   Purified recombinant fragment of human DIS3L2 (AA: 27-250) expressed in E. Coli.    

操作说明

WB    1/500 - 1/2000    

IHC    1/200 - 1/1000    

FCM    1/200 - 1/400    

ELISA    1/10000    

参考文献