DDX3X单克隆抗体[3B9E3]

AccuSift
DDX3X Mouse Monoclonal antibody[3B9E3]
DBX; DDX3; HLP2; DDX14; CAP-Rf
货号 名称 规格 价格 货期 数量
AC2067 DDX3X单克隆抗体[3B9E3] 50ug ¥1250 1周
AC2067 DDX3X单克隆抗体[3B9E3] 100ug ¥2200 1周

The protein encoded by this gene is a member of the large DEAD-box protein family, that is defined by the presence of the conserved Asp-Glu-Ala-Asp (DEAD) motif, and has ATP-dependent RNA helicase activity. This protein has been reported to display a high level of RNA-independent ATPase activity, and unlike most DEAD-box helicases, the ATPase activity is thought to be stimulated by both RNA and DNA. This protein has multiple conserved domains and is thought to play roles in both the nucleus and cytoplasm. Nuclear roles include transcriptional regulation, mRNP assembly, pre-mRNA splicing, and mRNA export. In the cytoplasm, this protein is thought to be involved in translation, cellular signaling, and viral replication. Misregulation of this gene has been implicated in tumorigenesis. This gene has a paralog located in the nonrecombining region of the Y chromosome. Pseudogenes sharing similarity to both this gene and the DDX3Y paralog are found on chromosome 4 and the X chromosome. Alternative splicing results in multiple transcript variants.



Aliases:    DBX; DDX3; HLP2; DDX14; CAP-Rf    

Entrez GeneID:    1654    

Swissprot:    O00571    

WB Predicted band size:    73.2kDa    

Host/Isotype :   Mouse IgG2a    

Species Reactivity:    Human,Mouse,Rat,Monkey,Rabbit    

Immunogen:    Purified recombinant fragment of human DDX3X (AA: 518-661) expressed in E. Coli.    

操作说明

WB    1/500 - 1/2000    

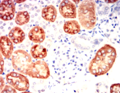
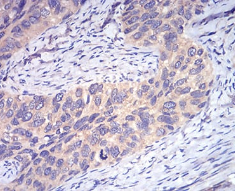
IHC    1/100 - 1/500    

IF/ICC    1/50 - 1/500    

FCM    1/200 - 1/400    

ELISA    1/10000    

参考文献