DDX1单克隆抗体[3E5B2]

AccuSift
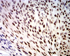
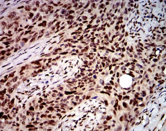
DDX1 Mouse Monoclonal antibody[3E5B2]
DBP-RB; UKVH5d
货号 名称 规格 价格 货期 数量
AC2061 DDX1单克隆抗体[3E5B2] 50ug ¥1250 1周
AC2061 DDX1单克隆抗体[3E5B2] 100ug ¥2200 1周

DEAD box proteins, characterized by the conserved motif Asp-Glu-Ala-Asp (DEAD), are putative RNA helicases. They are implicated in a number of cellular processes involving alteration of RNA secondary structure such as translation initiation, nuclear and mitochondrial splicing, and ribosome and spliceosome assembly. Based on their distribution patterns, some members of this family are believed to be involved in embryogenesis, spermatogenesis, and cellular growth and division. This gene encodes a DEAD box protein of unknown function. It shows high transcription levels in 2 retinoblastoma cell lines and in tissues of neuroectodermal origin.



Aliases:    DBP-RB; UKVH5d    

Entrez GeneID:    1653    

Swissprot:    Q92499    

WB Predicted band size :   82.4kDa    

Host/Isotype:    Mouse IgG1    

Species Reactivity:    Human    

Immunogen:    Purified recombinant fragment of human DDX1 (AA: 642-740) expressed in E. Coli.    

操作说明

WB    1/500 - 1/2000    

IHC    1/200 - 1/1000    

IF/ICC    1/200 - 1/1000    

FCM    1/200 - 1/400    

ELISA    1/10000    

参考文献