DCX 单克隆抗体[2G5B8]

AccuSift
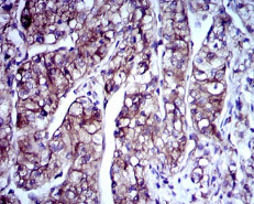
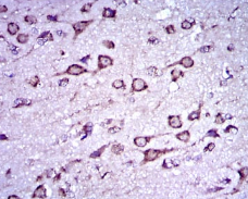
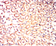
DCX Mouse Monoclonal antibody[2G5B8]
DC; DBCN; LISX; SCLH; XLIS
货号 名称 规格 价格 货期 数量
AC2057 DCX 单克隆抗体[2G5B8] 50ug ¥1250 1周
AC2057 DCX 单克隆抗体[2G5B8] 100ug ¥2200 1周

This gene encodes a member of the doublecortin family. The protein encoded by this gene is a cytoplasmic protein and contains two doublecortin domains, which bind microtubules. In the developing cortex, cortical neurons must migrate over long distances to reach the site of their final differentiation. The encoded protein appears to direct neuronal migration by regulating the organization and stability of microtubules. In addition, the encoded protein interacts with LIS1, the regulatory gamma subunit of platelet activating factor acetylhydrolase, and this interaction is important to proper microtubule function in the developing cortex. Mutations in this gene cause abnormal migration of neurons during development and disrupt the layering of the cortex, leading to epilepsy, mental retardation, subcortical band heterotopia ("double cortex" syndrome) in females and lissencephaly ("smooth brain" syndrome) in males. Multiple transcript variants encoding different isoforms have been found for this gene.



Aliases:    DC; DBCN; LISX; SCLH; XLIS    

Entrez GeneID:    1641    

Swissprot:    O43602    

WB Predicted band size:    49.3kDa    

Host/Isotype:    Mouse IgG1    

Species Reactivity:    Human,Mouse,Rat,Rabbit,Monkey    

Immunogen :   Purified recombinant fragment of human DCX (AA: 362-411) expressed in E. Coli.    

操作说明

WB    1/500 - 1/2000    

IHC    1/200 - 1/1000    

IF/ICC    1/50-1/200    

FCM    1/200 - 1/400    

ELISA    1/10000    

参考文献