CYP1A1单克隆抗体[6G5D]

AccuSift
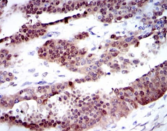
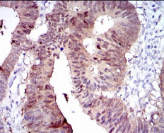
CYP1A1 Mouse Monoclonal antibody[6G5D]
AHH; AHRR; CP11; CYP1; P1-450; P450-C; P450DX
货号 名称 规格 价格 货期 数量
AC2037 CYP1A1单克隆抗体[6G5D] 50ug ¥1250 1周
AC2037 CYP1A1单克隆抗体[6G5D] 100ug ¥2200 1周

This gene, CYP1A1, encodes a member of the cytochrome P450 superfamily of enzymes. The cytochrome P450 proteins are monooxygenases which catalyze many reactions involved in drug metabolism and synthesis of cholesterol, steroids and other lipids. This protein localizes to the endoplasmic reticulum and its expression is induced by some polycyclic aromatic hydrocarbons (PAHs), some of which are found in cigarette smoke. The enzyme's endogenous substrate is unknown; however, it is able to metabolize some PAHs to carcinogenic intermediates. The gene has been associated with lung cancer risk. A related family member, CYP1A2, is located approximately 25 kb away from CYP1A1 on chromosome 15.



Aliases:    AHH; AHRR; CP11; CYP1; P1-450; P450-C; P450DX    

Entrez GeneID:    1543    

Swissprot:    P04798     

WB Predicted band size:    58kDa    

Host/Isotype:    Mouse IgG1    

Species Reactivity:   Human    

Immunogen:    Purified recombinant fragment of human CYP1A1 expressed in E. Coli.    

操作说明

IHC    1/200 - 1/1000    

ELISA    1/10000    

参考文献