CYCS单克隆抗体[5E6B1]

AccuSift
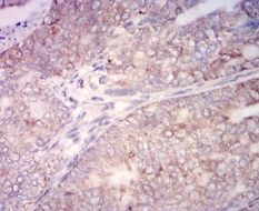
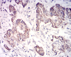
CYCS Mouse Monoclonal antibody[5E6B1]
CYC; HCS; THC4
货号 名称 规格 价格 货期 数量
AC2035 CYCS单克隆抗体[5E6B1] 50ug ¥1250 1周
AC2035 CYCS单克隆抗体[5E6B1] 100ug ¥2200 1周

This gene encodes a small heme protein that functions as a central component of the electron transport chain in mitochondria. The encoded protein associates with the inner membrane of the mitochondrion where it accepts electrons from cytochrome b and transfers them to the cytochrome oxidase complex. This protein is also involved in initiation of apoptosis. Mutations in this gene are associated with autosomal dominant nonsyndromic thrombocytopenia. Numerous processed pseudogenes of this gene are found throughout the human genome.



Aliases :   CYC; HCS; THC4    

Entrez GeneID:    54205    

Swissprot:    P99999    

WB Predicted band size:   11.7kDa    

Host/Isotype:    Mouse IgG1    

Species Reactivity :   Human,Mouse    

Immunogen:    Purified recombinant fragment of human CYCS (AA: 1-105) expressed in E. Coli.    

操作说明

WB    1/500 - 1/2000    

IHC    1/200 - 1/1000    

FCM    1/200 - 1/400    

ELISA    1/10000    

参考文献