CNN3单克隆抗体[5E4E4]

AccuSift
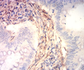
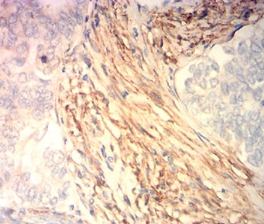
CNN3 Mouse Monoclonal antibody[5E4E4]
货号 名称 规格 价格 货期 数量
AC1973 CNN3单克隆抗体[5E4E4] 50ug ¥1250 1周
AC1973 CNN3单克隆抗体[5E4E4] 100ug ¥2200 1周

This gene encodes a protein with a markedly acidic C terminus; the basic N-terminus is highly homologous to the N-terminus of a related gene, CNN1. Members of the CNN gene family all contain similar tandemly repeated motifs. This encoded protein is associated with the cytoskeleton but is not involved in contraction.



Entrez GeneID:    1266    

Swissprot :   Q15417     

WB Predicted band size :   36.4kDa    

Host/Isotype:    Mouse IgG1    

Species Reactivity:    Human    

Immunogen:    Purified recombinant fragment of human CNN3 (AA: 26-130) expressed in E. Coli.    

操作说明

WB    1/500 - 1/2000    

IHC    1/200 - 1/1000    

IF/ICC    1/500 - 1/2000    

FCM    1/200 - 1/400    

ELISA    1/10000    

参考文献