CNN1单克隆抗体[1H5B5]

AccuSift
CNN1 Mouse Monoclonal antibody[1H5B5]
SMCC; Sm-Calp
货号 名称 规格 价格 货期 数量
AC1972 CNN1单克隆抗体[1H5B5] 50ug ¥1250 1周
AC1972 CNN1单克隆抗体[1H5B5] 100ug ¥2200 1周

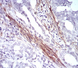
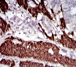
Calponin h1 (CN) is a differentiation marker of smooth muscle cells that has been reported to be down-regulated in the blood vessels of several human tumors.



Aliases:    SMCC; Sm-Calp    

Entrez GeneID:    1264    

Swissprot:    P51911    

WB Predicted band size:    33.2kDa    

Host/Isotype:    Mouse IgG1    

Species Reactivity:    Human,Mouse,Rat,Monkey,Rabbit    

Immunogen:    Purified recombinant fragment of human CNN1 (AA: 16-165) expressed in E. Coli.    

操作说明

WB    1/500 - 1/2000    

IHC    1/100 - 1/500    

ELISA    1/10000    

参考文献