C-MYC单克隆抗体[6H11F]

AccuSift
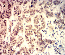
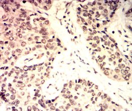
C-MYC Mouse Monoclonal antibody[6H11F]
MRTL; MYCC; c-Myc; bHLHe39
货号 名称 规格 价格 货期 数量
AC1971 C-MYC单克隆抗体[6H11F] 50ug ¥1250 1周
AC1971 C-MYC单克隆抗体[6H11F] 100ug ¥2200 1周

This gene is a proto-oncogene and encodes a nuclear phosphoprotein that plays a role in cell cycle progression, apoptosis and cellular transformation. The encoded protein forms a heterodimer with the related transcription factor MAX. This complex binds to the E box DNA consensus sequence and regulates the transcription of specific target genes. Amplification of this gene is frequently observed in numerous human cancers. Translocations involving this gene are associated with Burkitt lymphoma and multiple myeloma in human patients. There is evidence to show that translation initiates both from an upstream, in-frame non-AUG (CUG) and a downstream AUG start site, resulting in the production of two isoforms with distinct N-termini. [provided by RefSeq, Aug 2017]



Aliases :   MRTL; MYCC; c-Myc; bHLHe39    

Entrez GeneID:    4609    

Swissprot :   P01106    

WB Predicted band size:    32.1/57/48.8kDa    

Host/Isotype:    Mouse IgG1    

Species Reactivity:    Human    

Immunogen:    Purified recombinant fragment of human C-MYC (AA: (290-439)) expressed in E. Coli.    

操作说明

IHC    1/200-1/1000    

FCM    1/200-1/400    

ELISA    1/10000    

参考文献