CK5单克隆抗体[101E6]

AccuSift
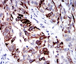
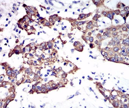
CK5 Mouse Monoclonal antibody[101E6]
KRT5; K5; DDD; EBS2; KRT5A
货号 名称 规格 价格 货期 数量
AC1950 CK5单克隆抗体[101E6] 50ug ¥1250 1周
AC1950 CK5单克隆抗体[101E6] 100ug ¥2200 1周

The protein encoded by this gene is a member of the keratin gene family. The type II cytokeratins consist of basic or neutral proteins which are arranged in pairs of heterotypic keratin chains coexpressed during differentiation of simple and stratified epithelial tissues. This type II cytokeratin is specifically expressed in the basal layer of the epidermis with family member KRT14. Mutations in these genes have been associated with a complex of diseases termed epidermolysis bullosa simplex. The type II cytokeratins are clustered in a region of chromosome 12q12-q13.



Aliases:    KRT5; K5; DDD; EBS2; KRT5A    

Entrez GeneID:    3852    

Swissprot :   P13647     

WB Predicted band size:    62.3kDa    

Host/Isotype:    Mouse IgG1    

Species Reactivity:    Human    

Immunogen:    Purified recombinant fragment of human CK5 (AA: 316-590) expressed in E. Coli.    

操作说明

WB    1/500 - 1/2000    

IHC    1/200 - 1/1000    

ELISA    1/10000    

参考文献