CK17单克隆抗体[3B12B]

AccuSift
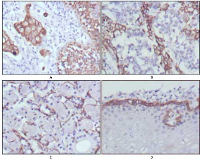
CK17 Mouse Monoclonal antibody[3B12B]
CK17; PC; K17; PC2; PCHC1; KRT17
货号 名称 规格 价格 货期 数量
AC1949 CK17单克隆抗体[3B12B] 50ug ¥1250 1周
AC1949 CK17单克隆抗体[3B12B] 100ug ¥2200 1周

CK17, also known as KRT17, it is the type I intermediate filament chain keratin 17. It is found in nail beds, hair follicles, sebaceous glands, and other epidermal appendages. Mutations in this gene lead to Jackson-Lawler type pachyonychia congenita and steatocystoma multiplex. May play a role in the formation and maintenance of various skin appendages, specifically in determining shape and orientation of hair. May be a marker of basal cell differentiation in complex epithelia and therefore indicative of a certain type of epithelial "stem cells". May act as an autoantigen in the immunopathogenesis of psoriasis, with certain peptide regions being a major target for autoreactive T-cells and hence causing their proliferation. Required for the correct growth of hair follicles, in particular for the persistence of the anagen (growth) state. Modulates the function of TNF-alpha in the specific context of hair cycling. Regulates protein synthesis and epithelial cell growth through binding to the adapter protein SFN and by stimulating Akt/mTOR pathway. Involved in tissue repair.



Aliases :   PC; K17; PC2; PCHC1; KRT17    

Entrez GeneID:    3872    

Swissprot :   Q04695    

WB Predicted band size:    49kDa    

Host/Isotype :   Mouse IgG2b    

Species Reactivity:    Human    

Immunogen :   Purified recombinant fragment of CK17 expressed in E. Coli.    

操作说明

WB    1/500 - 1/2000    

IHC    1/200 - 1/1000    

ELISA    1/10000    

参考文献