c-Jun单克隆抗体[4H9G9]

AccuSift
c-Jun Mouse Monoclonal antibody[4H9G9]
AP1; AP-1; c-Jun; Jun
货号 名称 规格 价格 货期 数量
AC1946 c-Jun单克隆抗体[4H9G9] 50ug ¥1250 1周
AC1946 c-Jun单克隆抗体[4H9G9] 100ug ¥2200 1周

This gene is the putative transforming gene of avian sarcoma virus 17. It encodes a protein which is highly similar to the viral protein, and which interacts directly with specific target DNA sequences to regulate gene expression. This gene is intronless and is mapped to 1p32-p31, a chromosomal region involved in both translocations and deletions in human malignancies.

Aliases:    AP1; AP-1; c-Jun; Jun    

Entrez GeneID:    3725    

Swissprot:    P05412    

WB Predicted band size:    43kDa    

Host/Isotype:    Mouse IgG1    

Species Reactivity:    Human,Mouse    

Immunogen:    Purified recombinant fragment of human c-Jun expressed in E. Coli.    

操作说明

WB    1/500 - 1/2000    

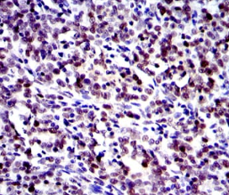
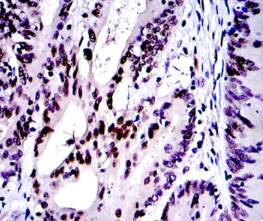
IHC    1/200 - 1/1000    

IF/ICC    1/200 - 1/1000    

ELISA    1/10000    

参考文献