CIB1单克隆抗体[5A1F5]

AccuSift
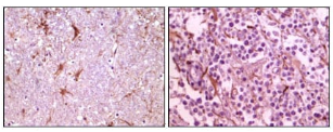
CIB1 Mouse Monoclonal antibody[5A1F5]
CIB; KIP; KIP1; SIP2-28; CIB1
货号 名称 规格 价格 货期 数量
AC1941 CIB1单克隆抗体[5A1F5] 50ug ¥1250 1周
AC1941 CIB1单克隆抗体[5A1F5] 100ug ¥2200 1周

CIB1(also designated calcium and integrin binding 1 or calmyrin),with 191-amino acid protein(about 21kDa), belongs to the calcium-binding protein family.CIB1 is known to interact with DNA-dependent protein kinase and may play a role in kinase-phosphatase regulation of DNA end joining.CIB1 is an EF-hand-containing protein that binds multiple effector proteins, including the platelet alpha(IIb)beta(3) integrin and several serine/threonine kinases and potentially modulates their function.CIB1 regulates platelet aggregation in hemostasis through a specific interaction with the alpha(IIb) cytoplasmic domain of platelet integrin alpha(IIb)beta(3). CIB1 is also ubiquitously expressed activating and inhibiting protein ligand of the InsP3R.



Aliases:    CIB; KIP; KIP1; SIP2-28    

Entrez GeneID:    10519    

Swissprot:    Q99828    

Host/Isotype :   Mouse IgG1    

Species Reactivity:    Human    

Immunogen:    Purified recombinant fragment of CIB1 expressed in E. Coli.    

操作说明

WB    1/500 - 1/2000    

IHC    1/200 - 1/1000    

ELISA    1/10000    

参考文献