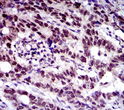
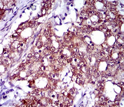
CFLAR单克隆抗体[6G11]

AccuSift
CFLAR Mouse Monoclonal antibody[6G11]
CASH; FLIP; MRIT; CLARP; FLAME; Casper; FLAME1; c-FLIP; FLAME-1; I-FLICE; c-FLIPL; c-FLIPR; c-FLIPS; CASP8AP1
货号 名称 规格 价格 货期 数量
AC1905 CFLAR单克隆抗体[6G11] 50ug ¥1250 1周
AC1905 CFLAR单克隆抗体[6G11] 100ug ¥2200 1周

The protein encoded by this gene is a regulator of apoptosis and is structurally similar to caspase-8. However, the encoded protein lacks caspase activity and appears to be itself cleaved into two peptides by caspase-8. Several transcript variants encoding different isoforms have been found for this gene, and partial evidence for several more variants exists.



Aliases:   CASH; FLIP; MRIT; CLARP; FLAME; Casper; FLAME1; c-FLIP; FLAME-1; I-FLICE; c-FLIPL; c-FLIPR; c-FLIPS; CASP8AP1    

Entrez GeneID:    8837    

Swissprot:    O15519    

WB Predicted band size:    55.3kDa    

Host/Isotype:    Mouse IgG1    

Species Reactivity:    Human    

Immunogen:    Purified recombinant fragment of human CFLAR (AA: 100-251) expressed in E. Coli.    

操作说明

IHC    1/200 - 1/1000    

ELISA    1/10000    

参考文献