CFHR5单克隆抗体[10A5]

AccuSift
CFHR5 Mouse Monoclonal antibody[10A5]
FHR5; CFHL5; FHR-5; CFHR5D
货号 名称 规格 价格 货期 数量
AC1903 CFHR5单克隆抗体[10A5] 50ug ¥1250 1周
AC1903 CFHR5单克隆抗体[10A5] 100ug ¥2200 1周

This gene is a member of a small complement factor H (CFH) gene cluster on chromosome 1. Each member of this gene family contains multiple short consensus repeats (SCRs) typical of regulators of complement activation. The protein encoded by this gene has nine SCRs with the first two repeats having heparin binding properties, a region within repeats 5-7 having heparin binding and C reactive protein binding properties, and the C-terminal repeats being similar to a complement component 3 b (C3b) binding domain. This protein co-localizes with C3, binds C3b in a dose-dependent manner, and is recruited to tissues damaged by C-reactive protein. Allelic variations in this gene have been associated, but not causally linked, with two different forms of kidney disease: membranoproliferative glomerulonephritis type II (MPGNII) and hemolytic uraemic syndrome (HUS).



Aliases:    FHR5; CFHL5; FHR-5; CFHR5D    

Entrez GeneID:    81494    

Swissprot:    Q9BXR6    

WB Predicted band size:    64.4kDa    

Host/Isotype:    Mouse IgG2a    

Species Reactivity:    Human,Mouse    

Immunogen:    Purified recombinant fragment of human CFHR5 (AA: 344-569) expressed in E. Coli.    

操作说明

WB    1/500 - 1/2000    

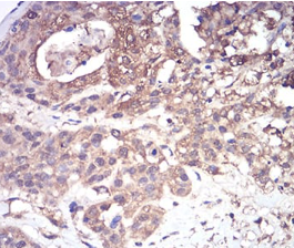
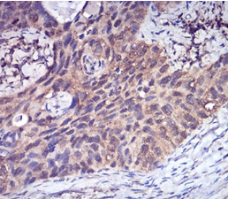
IHC    1/200 - 1/1000    

IF/ICC    1/200 - 1/1000    

FCM    1/200 - 1/400    

ELISA    1/10000    

参考文献