CEACAM6单克隆抗体[3H4A5]

AccuSift
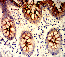
CEACAM6 Mouse Monoclonal antibody[3H4A5]
NCA; CEAL; CD66c
货号 名称 规格 价格 货期 数量
AC1896 CEACAM6单克隆抗体[3H4A5] 50ug ¥1250 1周
AC1896 CEACAM6单克隆抗体[3H4A5] 100ug ¥2200 1周

This gene encodes a protein that belongs to the carcinoembryonic antigen (CEA) family whose members are glycosyl phosphatidyl inositol (GPI) anchored cell surface glycoproteins. Members of this family play a role in cell adhesion and are widely used as tumor markers in serum immunoassay determinations of carcinoma. This gene affects the sensitivity of tumor cells to adenovirus infection. The protein encoded by this gene acts as a receptor for adherent-invasive E. coli adhesion to the surface of ileal epithelial cells in patients with Crohn's disease. This gene is clustered with genes and pseudogenes of the cell adhesion molecules subgroup of the CEA family on chromosome 19.



Aliases :   NCA; CEAL; CD66c    

Entrez GeneID:    4680    

Swissprot:    P40199    

WB Predicted band size :   37.2kDa    

Host/Isotype :   Mouse IgG1    

Species Reactivity:    Human, Mouse, Rat    

Immunogen:    Purified recombinant fragment of human CEACAM6 (AA: 35-256) expressed in HEK293-6e cells supernatant.    

操作说明

WB    1/500 - 1/2000    

IHC    1/200 - 1/1000    

IF/ICC    1/25 - 1/100    

FCM    1/200 - 1/400    

ELISA    1/10000    

参考文献