CDX2单克隆抗体[5C11H]

AccuSift
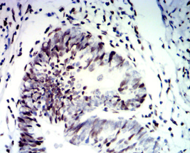
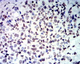
CDX2 Mouse Monoclonal antibody[5C11H]
CDX3; CDX-3; CDX2/AS
货号 名称 规格 价格 货期 数量
AC1890 CDX2单克隆抗体[5C11H] 50ug ¥1250 1周
AC1890 CDX2单克隆抗体[5C11H] 100ug ¥2200 1周

This gene is a member of the caudal-related homeobox transcription factor gene family. The encoded protein is a major regulator of intestine-specific genes involved in cell growth an differentiation. This protein also plays a role in early embryonic development of the intestinal tract. Aberrant expression of this gene is associated with intestinal inflammation and tumorigenesis. [provided by RefSeq, Jan 2012]



Aliases :   CDX3; CDX-3; CDX2/AS    

Entrez GeneID:    1045    

Swissprot:    Q99626       

WB Predicted band size :   33.5kDa    

Host/Isotype:    Mouse IgG1    

Species Reactivity:    Human    

Immunogen:    Purified recombinant fragment of human CDX2 (AA: 1-180) expressed in E. Coli.    

操作说明

IHC    1/200-1/1000    

FCM    1/200-1/400    

ELISA    1/10000    

参考文献