CDKN1A单克隆抗体[2B7F8]

AccuSift
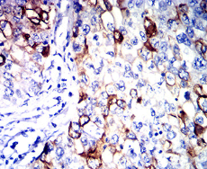
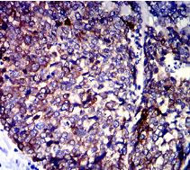
CDKN1A Mouse Monoclonal antibody[2B7F8]
P21; CIP1; SDI1; WAF1; CAP20; CDKN1; MDA-6; p21CIP1
货号 名称 规格 价格 货期 数量
AC1876 CDKN1A单克隆抗体[2B7F8] 50ug ¥1250 1周
AC1876 CDKN1A单克隆抗体[2B7F8] 100ug ¥2200 1周

This gene encodes a potent cyclin-dependent kinase inhibitor. The encoded protein binds to and inhibits the activity of cyclin-cyclin-dependent kinase2 or -cyclin-dependent kinase4 complexes, and thus functions as a regulator of cell cycle progression at G1. The expression of this gene is tightly controlled by the tumor suppressor protein p53, through which this protein mediates the p53-dependent cell cycle G1 phase arrest in response to a variety of stress stimuli. This protein can interact with proliferating cell nuclear antigen, a DNA polymerase accessory factor, and plays a regulatory role in S phase DNA replication and DNA damage repair. This protein was reported to be specifically cleaved by CASP3-like caspases, which thus leads to a dramatic activation of cyclin-dependent kinase2, and may be instrumental in the execution of apoptosis following caspase activation. Mice that lack this gene have the ability to regenerate damaged or missing tissue. Multiple alternatively spliced variants have been found for this gene.



Aliases:    P21; CIP1; SDI1; WAF1; CAP20; CDKN1; MDA-6; p21CIP1    

Entrez GeneID:    1026    

Swissprot:    P38936    

WB Predicted band size :   18.1kDa    

Host/Isotype :   Mouse IgG1    

Species Reactivity:    Human    

Immunogen :   Purified recombinant fragment of human CDKN1A (AA: 1-164) expressed in E. Coli.    

操作说明

IHC    1/200 - 1/1000    

FCM    1/200 - 1/400    

ELISA    1/10000    

参考文献