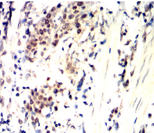
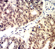
CDK4单克隆抗体[4A11E]

AccuSift
CDK4 Mouse Monoclonal antibody[4A11E]
CMM3; PSK-J3
货号 名称 规格 价格 货期 数量
AC1871 CDK4单克隆抗体[4A11E] 50ug ¥1250 1周
AC1871 CDK4单克隆抗体[4A11E] 100ug ¥2200 1周

The protein encoded by this gene is a member of the Ser/Thr protein kinase family. This protein is highly similar to the gene products of S. cerevisiae cdc28 and S. pombe cdc2. It is a catalytic subunit of the protein kinase complex that is important for cell cycle G1 phase progression. The activity of this kinase is restricted to the G1-S phase, which is controlled by the regulatory subunits D-type cyclins and CDK inhibitor p16(INK4a). This kinase was shown to be responsible for the phosphorylation of retinoblastoma gene product (Rb). Mutations in this gene as well as in its related proteins including D-type cyclins, p16(INK4a) and Rb were all found to be associated with tumorigenesis of a variety of cancers. Multiple polyadenylation sites of this gene have been reported.



Aliases:    CMM3; PSK-J3    

Entrez GeneID:    1019    

Swissprot:    P11802     

WB Predicted band size :   33.7kda    

Host/Isotype :   Mouse IgG1    

Species Reactivity:    Human    

Immunogen :   Purified recombinant fragment of human CDK4 (AA: 77-303) expressed in E. Coli.    

操作说明

IHC    1/200 - 1/1000    

IF/ICC    1/200 - 1/1000    

FCM    1/200 - 1/400    

ELISA    1/10000    

参考文献