CDK2单克隆抗体[1A6A2]

AccuSift
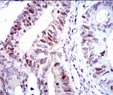
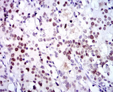
CDK2 Mouse Monoclonal antibody[1A6A2]
p33
货号 名称 规格 价格 货期 数量
AC1870 CDK2单克隆抗体[1A6A2] 50ug ¥1250 1周
AC1870 CDK2单克隆抗体[1A6A2] 100ug ¥2200 1周

The protein encoded by this gene is a member of the Ser/Thr protein kinase family. This protein kinase is highly similar to the gene products of S. cerevisiae cdc28, and S. pombe cdc2. It is a catalytic subunit of the cyclin-dependent protein kinase complex, whose activity is restricted to the G1-S phase, and essential for cell cycle G1/S phase transition. This protein associates with and regulated by the regulatory subunits of the complex including cyclin A or E, CDK inhibitor p21Cip1 (CDKN1A) and p27Kip1 (CDKN1B). Its activity is also regulated by its protein phosphorylation. Two alternatively spliced variants and multiple transcription initiation sites of this gene have been reported.



Aliases:    p33    

Entrez GeneID:    1017    

Swissprot:    P24941     

WB Predicted band size:    33.9kDa    

Host/Isotype :   Mouse IgG1    

Species Reactivity :   Human,Mouse    

Immunogen :   Purified recombinant fragment of human CDK2 expressed in E. Coli.    

操作说明

WB    1/500 - 1/2000    

IHC    1/200 - 1/1000    

IF/ICC    1/200 - 1/1000    

FCM    1/200 - 1/400    

ELISA    1/10000    

参考文献