CDH1单克隆抗体[6C2A1]

AccuSift
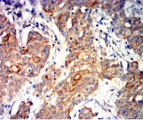
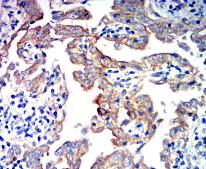
CDH1 Mouse Monoclonal antibody[6C2A1]
UVO; CDHE; ECAD; LCAM; Arc-1; BCDS1; CD325
货号 名称 规格 价格 货期 数量
AC1857 CDH1单克隆抗体[6C2A1] 50ug ¥1250 1周
AC1857 CDH1单克隆抗体[6C2A1] 100ug ¥2200 1周

This gene encodes a classical cadherin of the cadherin superfamily. Alternative splicing results in multiple transcript variants, at least one of which encodes a preproprotein that is proteolytically processed to generate the mature glycoprotein. This calcium-dependent cell-cell adhesion protein is comprised of five extracellular cadherin repeats, a transmembrane region and a highly conserved cytoplasmic tail. Mutations in this gene are correlated with gastric, breast, colorectal, thyroid and ovarian cancer. Loss of function of this gene is thought to contribute to cancer progression by increasing proliferation, invasion, and/or metastasis. The ectodomain of this protein mediates bacterial adhesion to mammalian cells and the cytoplasmic domain is required for internalization. This gene is present in a gene cluster with other members of the cadherin family on chromosome 16.


Aliases:    UVO; CDHE; ECAD; LCAM; Arc-1; BCDS1; CD324;E-cadherin;E cadherin    

Entrez GeneID :   999    

Swissprot :   P12830    

WB Predicted band size :   97.5kDa    

Host/Isotype :   Mouse IgG1    

Species Reactivity :   Human, Mouse, Rat    

Immunogen :   Purified recombinant fragment of human CDH1 (AA:extra(155-354)) expressed in E. Coli.    

操作说明

WB    1/500 - 1/2000    

IHC    1/200 - 1/1000    

IF/ICC    1/200 - 1/1000    

FCM    1/200 - 1/400    

ELISA    1/10000    

参考文献