CD85K单克隆抗体[8F1H11]

AccuSift
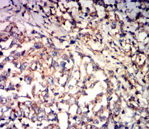
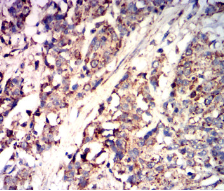
CD85K Mouse Monoclonal antibody[8F1H11]
ILT3; LIR5; LILRB4; ILT-3; LIR-5
货号 名称 规格 价格 货期 数量
AC1831 CD85K单克隆抗体[8F1H11] 50ug ¥1250 1周
AC1831 CD85K单克隆抗体[8F1H11] 100ug ¥2200 1周

This gene is a member of the leukocyte immunoglobulin-like receptor (LIR) family, which is found in a gene cluster at chromosomal region 19q13.4. The encoded protein belongs to the subfamily B class of LIR receptors which contain two or four extracellular immunoglobulin domains, a transmembrane domain, and two to four cytoplasmic immunoreceptor tyrosine-based inhibitory motifs (ITIMs). The receptor is expressed on immune cells where it binds to MHC class I molecules on antigen-presenting cells and transduces a negative signal that inhibits stimulation of an immune response. The receptor can also function in antigen capture and presentation. It is thought to control inflammatory responses and cytotoxicity to help focus the immune response and limit autoreactivity. Multiple transcript variants encoding different isoforms have been found for this gene. [provided by RefSeq, Jul 2008]



Aliases:    ILT3; LIR5; LILRB4; ILT-3; LIR-5    

Entrez GeneID:    11006    

Swissprot:    Q8NHJ6    

WB Predicted band size :   49kDa    

Host/Isotype :   Mouse IgG1    

Species Reactivity:    Human    

Immunogen:    Purified recombinant fragment of human CD85K (AA: 22-259) expressed in E. Coli.    

操作说明

IHC    1/200 - 1/1000    

IF/ICC    1/200 - 1/1000    

FCM    1/200 - 1/400    

ELISA    1/10000    

参考文献