CD81单克隆抗体[6C1B6]

AccuSift
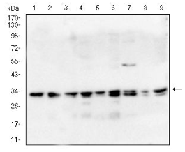
CD81 Mouse Monoclonal antibody[6C1B6]
S5.7; CVID6; TAPA1; TSPAN28
货号 名称 规格 价格 货期 数量
AC1823 CD81单克隆抗体[6C1B6] 50ug ¥1250 1周
AC1823 CD81单克隆抗体[6C1B6] 100ug ¥2200 1周

The protein encoded by this gene is a member of the transmembrane 4 superfamily, also known as the tetraspanin family. Most of these members are cell-surface proteins that are characterized by the presence of four hydrophobic domains. The proteins mediate signal transduction events that play a role in the regulation of cell development, activation, growth and motility. This encoded protein is a cell surface glycoprotein that is known to complex with integrins. This protein appears to promote muscle cell fusion and support myotube maintenance. Also it may be involved in signal transduction. This gene is localized in the tumor-suppressor gene region and thus it is a candidate gene for malignancies. Two transcript variants encoding different isoforms have been found for this gene.


Aliases:    S5.7; CVID6; TAPA1; TSPAN28    

Entrez GeneID :   975    

Swissprot:    P60033    

WB Predicted band size:    25.8kDa    

Host/Isotype:    Mouse IgG1    

Species Reactivity :   Human, Rat    

Immunogen:    Purified recombinant fragment of human CD81 (AA: 113-201) expressed in E. Coli.    

操作说明

WB    1/500 - 1/2000    

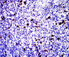
IHC    1/200 - 1/1000    

FCM    1/200 - 1/400    

ELISA    1/10000    

参考文献