CD69单克隆抗体[8B6E6]

AccuSift
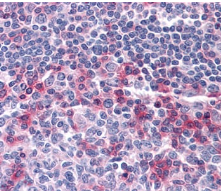
CD69 Mouse Monoclonal antibody[8B6E6]
CLEC2C; CD69
货号 名称 规格 价格 货期 数量
AC1806 CD69单克隆抗体[8B6E6] 50ug ¥1250 1周
AC1806 CD69单克隆抗体[8B6E6] 100ug ¥2200 1周

Involved in lymphocyte proliferation and functions as a signal transmitting receptor in lymphocytes, natural killer (NK) cells, andplatelets Subcellular location: Membrane, Single-pass type II membrane protein Tissue specificity: Expressed on the surface of activated T-cells, B-cells, natural killer cells, neutrophils, eosinophils, epidermal Langerhanscells and platelets Sequence similarities: Contains 1 C-type lectin domain.



Aliases:    CLEC2C; CD69    

Entrez GeneID:    969    

Swissprot :   Q07108    

WB Predicted band size:    22.5kDa    

Host/Isotype :   Mouse IgG1    

Species Reactivity:    Human    

Immunogen :   Purified recombinant fragment of human CD69 expressed in E. Coli.    

操作说明

WB    1/500 - 1/2000    

IHC    1/200 - 1/1000    

FCM    1/200 - 1/400    

ELISA    1/10000    

参考文献