CD68单克隆抗体[3F7D3]

AccuSift
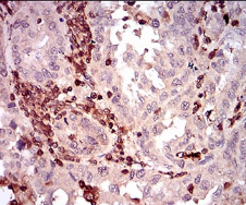
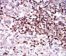
CD68 Mouse Monoclonal antibody[3F7D3]
GP110; LAMP4; SCARD1
货号 名称 规格 价格 货期 数量
AC1805 CD68单克隆抗体[3F7D3] 50ug ¥1250 1周
AC1805 CD68单克隆抗体[3F7D3] 100ug ¥2200 1周

This gene encodes a 110-kD transmembrane glycoprotein that is highly expressed by human monocytes and tissue macrophages. It is a member of the lysosomal/endosomal-associated membrane glycoprotein (LAMP) family. The protein primarily localizes to lysosomes and endosomes with a smaller fraction circulating to the cell surface. It is a type I integral membrane protein with a heavily glycosylated extracellular domain and binds to tissue- and organ-specific lectins or selectins. The protein is also a member of the scavenger receptor family. Scavenger receptors typically function to clear cellular debris, promote phagocytosis, and mediate the recruitment and activation of macrophages. Alternative splicing results in multiple transcripts encoding different isoforms.


Aliases :   GP110; LAMP4; SCARD1    

Entrez GeneID:    968    

Swissprot :   P34810     

WB Predicted band size :   37.4kDa    

Host/Isotype:    Mouse IgG1    

Species Reactivity:    Human    

Immunogen :   Purified recombinant fragment of human CD68 (AA: 42-155) expressed in E. Coli.    

操作说明

WB    1/500 - 1/2000    

IHC    1/200 - 1/1000    

IF/ICC    1/200 - 1/1000    

FCM    1/200 - 1/400    

ELISA    1/10000    

参考文献