CD66A单克隆抗体[7B9G3]

AccuSift
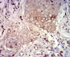
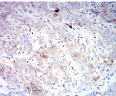
CD66A Mouse Monoclonal antibody[7B9G3]
CEACAM1; BGP; BGP1; BGPI
货号 名称 规格 价格 货期 数量
AC1802 CD66A单克隆抗体[7B9G3] 50ug ¥1250 1周
AC1802 CD66A单克隆抗体[7B9G3] 100ug ¥2200 1周

This gene encodes a member of the carcinoembryonic antigen (CEA) gene family, which belongs to the immunoglobulin superfamily. Two subgroups of the CEA family, the CEA cell adhesion molecules and the pregnancy-specific glycoproteins, are located within a 1.2 Mb cluster on the long arm of chromosome 19. Eleven pseudogenes of the CEA cell adhesion molecule subgroup are also found in the cluster. The encoded protein was originally described in bile ducts of liver as biliary glycoprotein. Subsequently, it was found to be a cell-cell adhesion molecule detected on leukocytes, epithelia, and endothelia. The encoded protein mediates cell adhesion via homophilic as well as heterophilic binding to other proteins of the subgroup. Multiple cellular activities have been attributed to the encoded protein, including roles in the differentiation and arrangement of tissue three-dimensional structure, angiogenesis, apoptosis, tumor suppression, metastasis, and the modulation of innate and adaptive immune responses. Multiple transcript variants encoding different isoforms have been reported, but the full-length nature of all variants has not been defined.


Aliases :   CEACAM1; BGP; BGP1; BGPI    

Entrez GeneID :   634    

Swissprot :   P13688    

WB Predicted band size :   57.6kDa    

Host/Isotype:    Mouse IgG2b    

Species Reactivity :   Human    

Immunogen:    Purified recombinant fragment of human CD66A (AA: extra 65-201) expressed in E. Coli.    

操作说明

WB    1/500 - 1/2000    

IHC    1/200 - 1/1000    

FCM    1/200 - 1/400    

ELISA    1/10000    

参考文献