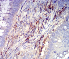
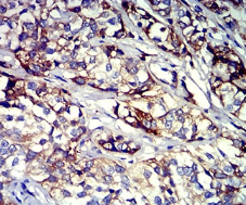
CD61单克隆抗体[3E8A6]

AccuSift
CD61 Mouse Monoclonal antibody[3E8A6]
ITGB3; GT; GP3A; BDPLT2; GPIIIa; BDPLT16
货号 名称 规格 价格 货期 数量
AC1792 CD61单克隆抗体[3E8A6] 50ug ¥1250 1周
AC1792 CD61单克隆抗体[3E8A6] 100ug ¥2200 1周

The ITGB3 protein product is the integrin beta chain beta 3. Integrins are integral cell-surface proteins composed of an alpha chain and a beta chain. A given chain may combine with multiple partners resulting in different integrins. Integrin beta 3 is found along with the alpha IIb chain in platelets. Integrins are known to participate in cell adhesion as well as cell-surface mediated signalling.


Aliases:    ITGB3; GT; GP3A; BDPLT2; GPIIIa; BDPLT16    

Entrez GeneID :   3690    

Swissprot:    P05106    

WB Predicted band size:    87kDa    

Host/Isotype :   Mouse IgG1    

Species Reactivity:    Human    

Immunogen:    Purified recombinant fragment of human CD61 (AA: extra 27-179) expressed in E. Coli.    

操作说明

IHC    1/200 - 1/1000    

FCM    1/200 - 1/400    

ELISA    1/10000    

参考文献