CD57单克隆抗体[1A8B9]

AccuSift
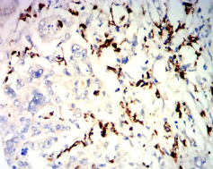
CD57 Mouse Monoclonal antibody[1A8B9]
NK1; CD57; HNK1; LEU7; NK-1; GLCATP; GLCUATP
货号 名称 规格 价格 货期 数量
AC1786 CD57单克隆抗体[1A8B9] 50ug ¥1250 1周
AC1786 CD57单克隆抗体[1A8B9] 100ug ¥2200 1周

The protein encoded by this gene is a member of the glucuronyltransferase gene family. These enzymes exhibit strict acceptor specificity, recognizing nonreducing terminal sugars and their anomeric linkages. This gene product functions as the key enzyme in a glucuronyl transfer reaction during the biosynthesis of the carbohydrate epitope HNK-1 (human natural killer-1, also known as CD57 and LEU7). Alternate transcriptional splice variants have been characterized. [provided by RefSeq, Jul 2008]



Aliases :   NK1; CD57; HNK1; LEU7; NK-1; GLCATP; GLCUATP    

Entrez GeneID:    27087    

Swissprot :   Q9P2W7    

WB Predicted band size:    38.2kDa    

Host/Isotype:    Mouse IgG2b    

Species Reactivity:    Human    

Immunogen:    Purified recombinant fragment of human CD57 (AA: 28-334) expressed in E. Coli.    

操作说明

IHC    1/200-1/1000    

FCM    1/200-1/400    

ELISA    1/10000    

参考文献