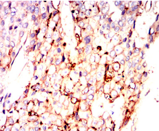
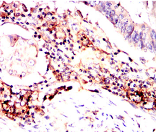
CD54单克隆抗体[1D5D5]

AccuSift
CD54 Mouse Monoclonal antibody[1D5D5]
BB2; CD54; P3.58
货号 名称 规格 价格 货期 数量
AC1781 CD54单克隆抗体[1D5D5] 50ug ¥1250 1周
AC1781 CD54单克隆抗体[1D5D5] 100ug ¥2200 1周

This gene encodes a cell surface glycoprotein which is typically expressed on endothelial cells and cells of the immune system. It binds to integrins of type CD11a / CD18, or CD11b / CD18 and is also exploited by Rhinovirus as a receptor.



Aliases:    BB2; CD54; P3.58    

Entrez GeneID:    3383    

Swissprot:    P05362      

WB Predicted band size:    57.8kDa    

Host/Isotype:    Mouse IgG2b    

Species Reactivity:    Human    

Immunogen:    Purified recombinant fragment of human CD54 (AA: 28-163) expressed in E. Coli.    

操作说明

WB    1/500 - 1/2000    

IHC    1/200 - 1/1000    

FCM    1/200 - 1/400    

ELISA    1/10000    

参考文献