CD53单克隆抗体[7A8D3]

AccuSift
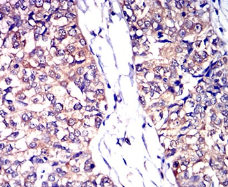
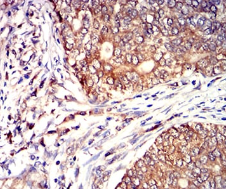
CD53 Mouse Monoclonal antibody[7A8D3]
MOX44; TSPAN25
货号 名称 规格 价格 货期 数量
AC1780 CD53单克隆抗体[7A8D3] 50ug ¥1250 1周
AC1780 CD53单克隆抗体[7A8D3] 100ug ¥2200 1周

The protein encoded by this gene is a member of the transmembrane 4 superfamily, also known as the tetraspanin family. Most of these members are cell-surface proteins that are characterized by the presence of four hydrophobic domains. The proteins mediate signal transduction events that play a role in the regulation of cell development, activation, growth and motility. This encoded protein is a cell surface glycoprotein that is known to complex with integrins. It contributes to the transduction of CD2-generated signals in T cells and natural killer cells and has been suggested to play a role in growth regulation. Familial deficiency of this gene has been linked to an immunodeficiency associated with recurrent infectious diseases caused by bacteria, fungi and viruses. Alternative splicing results in multiple transcript variants.


Aliases:    MOX44; TSPAN25    

Entrez GeneID :   963    

Swissprot:   P19397    

WB Predicted band size:    24.3kDa    

Host/Isotype:    Mouse IgG2a    

Species Reactivity:    Human    

Immunogen:   Purified recombinant fragment of human CD53 (AA: extra mix) expressed in E. Coli.    

操作说明

WB    1/500 - 1/2000    

IHC    1/200 - 1/1000    

FCM    1/200 - 1/400    

ELISA    1/10000    

参考文献