CD45R单克隆抗体[1D11]

AccuSift
CD45R Mouse Monoclonal antibody[1D11]
LCA; LY5; B220; CD45; L-CA; T200; GP180
货号 名称 规格 价格 货期 数量
AC1758 CD45R单克隆抗体[1D11] 50ug ¥1250 1周
AC1758 CD45R单克隆抗体[1D11] 100ug ¥2200 1周

The protein encoded by this gene is a member of the protein tyrosine phosphatase (PTP) family. PTPs are known to be signaling molecules that regulate a variety of cellular processes including cell growth, differentiation, mitosis, and oncogenic transformation. This PTP contains an extracellular domain, a single transmembrane segment and two tandem intracytoplasmic catalytic domains, and thus is classified as a receptor type PTP. This PTP has been shown to be an essential regulator of T- and B-cell antigen receptor signaling. It functions through either direct interaction with components of the antigen receptor complexes, or by activating various Src family kinases required for the antigen receptor signaling. This PTP also suppresses JAK kinases, and thus functions as a regulator of cytokine receptor signaling. Alternatively spliced transcripts variants of this gene, which encode distinct isoforms, have been reported.


Aliases :   LCA; LY5; B220; CD45; L-CA; T200; CD45R; GP180    

Entrez GeneID:    5788    

Swissprot:    P08575    

WB Predicted band size:    147kDa    

Host/Isotype:    Mouse IgG2b    

Species Reactivity:    Human    

Immunogen:    Purified recombinant fragment of human CD45R (AA: extra 378-577) expressed in E. Coli.    

操作说明

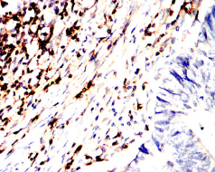
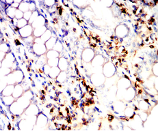
IHC    1/200 - 1/1000    

FCM    1/200 - 1/400    

ELISA    1/10000    

参考文献