CD44单克隆抗体[7F381]

AccuSift
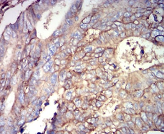
CD44 Mouse Monoclonal antibody[7F381]
IN; LHR; MC56; MDU2; MDU3; MIC4; Pgp1; CDW44; CSPG8; HCELL; HUTCH-I; ECMR-III
货号 名称 规格 价格 货期 数量
AC1752 CD44单克隆抗体[7F381] 50ug ¥1250 1周
AC1752 CD44单克隆抗体[7F381] 100ug ¥2200 1周

The protein encoded by this gene is a cell-surface glycoprotein involved in cell-cell interactions, cell adhesion and migration. It is a receptor for hyaluronic acid (HA) and can also interact with other ligands, such as osteopontin, collagens, and matrix metalloproteinases (MMPs). This protein participates in a wide variety of cellular functions including lymphocyte activation, recirculation and homing, hematopoiesis, and tumor metastasis. Transcripts for this gene undergo complex alternative splicing that results in many functionally distinct isoforms, however, the full length nature of some of these variants has not been determined. Alternative splicing is the basis for the structural and functional diversity of this protein, and may be related to tumor metastasis.



Aliases:    IN; LHR; MC56; MDU2; MDU3; MIC4; Pgp1; CDW44; CSPG8; HCELL; HUTCH-I; ECMR-III    

Entrez GeneID:    960    

Swissprot :   P16070      

WB Predicted band size:    81.5kDa    

Host/Isotype  :  Mouse IgG1    

Species Reactivity:    Human    

Immunogen:    Purified recombinant fragment of human CD44 (AA: extra 36-194) expressed in E. Coli.    

操作说明

WB    1/500 - 1/2000    

IHC    1/200 - 1/1000    

FCM    1/200 - 1/400    

ELISA    1/10000    

参考文献