CD40单克隆抗体[4E4C6]

AccuSift
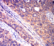
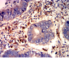
CD40 Mouse Monoclonal antibody[4E4C6]
p50; Bp50; CDW40; TNFRSF5
货号 名称 规格 价格 货期 数量
AC1741 CD40单克隆抗体[4E4C6] 50ug ¥1250 1周
AC1741 CD40单克隆抗体[4E4C6] 100ug ¥2200 1周



This gene is a member of the TNF-receptor superfamily. The encoded protein is a receptor on antigen-presenting cells of the immune system and is essential for mediating a broad variety of immune and inflammatory responses including T cell-dependent immunoglobulin class switching, memory B cell development, and germinal center formation. AT-hook transcription factor AKNA is reported to coordinately regulate the expression of this receptor and its ligand, which may be important for homotypic cell interactions. Adaptor protein TNFR2 interacts with this receptor and serves as a mediator of the signal transduction. The interaction of this receptor and its ligand is found to be necessary for amyloid-beta-induced microglial activation, and thus is thought to be an early event in Alzheimer disease pathogenesis. Mutations affecting this gene are the cause of autosomal recessive hyper-IgM immunodeficiency type 3 (HIGM3). Multiple alternatively spliced transcript variants of this gene encoding distinct isoforms have been reported. [provided by RefSeq, Nov 2014]




Aliases :   p50; Bp50; CDW40; TNFRSF5    

Entrez GeneID:    958    

Swissprot:    P25942    

WB Predicted band size :   30.6kDa    

Host/Isotype :   Mouse IgG1    

Species Reactivity :   Human,Mouse    

Immunogen:    Purified recombinant fragment of human CD40 (AA: extra(21-193)) expressed in E. Coli.    

操作说明

WB    1/500 - 1/2000    

IHC    1/200-1/1000    

FCM    1/200-1/400    

ELISA    1/10000    

参考文献