CD327单克隆抗体[3C11C]

AccuSift
CD327 Mouse Monoclonal antibody[3C11C]
SIGLEC6; CD33L; OBBP1; CD33L1; CD33L2; CDW327
货号 名称 规格 价格 货期 数量
AC1678 CD327单克隆抗体[3C11C] 50ug ¥1250 1周
AC1678 CD327单克隆抗体[3C11C] 100ug ¥2200 1周

This gene encodes a member of the SIGLEC (sialic acid binding immunoglobulin-like lectin) family of proteins. The encoded transmembrane receptor binds sialyl-TN glycans and leptin. Placental expression of the encoded protein is upregulated in preeclampsia.



Aliases:    SIGLEC6; CD33L; OBBP1; CD33L1; CD33L2; CDW327    

Entrez GeneID:    946    

Swissprot :   O43699       

WB Predicted band size:    50kDa    

Host/Isotype:    Mouse IgG2b    

Species Reactivity :   Human    

Immunogen:    Purified recombinant fragment of human CD327 (AA: extra 27-347) expressed in E. Coli.    

操作说明

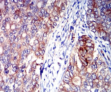
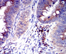
IHC    1/200 - 1/1000    

FCM    1/200 - 1/400    

ELISA    1/10000    

参考文献