CD321单克隆抗体[3B2B3]

AccuSift
CD321 Mouse Monoclonal antibody[3B2B3]
F11R;JAM; KAT; JAM1; JAMA; JCAM; PAM-1
货号 名称 规格 价格 货期 数量
AC1675 CD321单克隆抗体[3B2B3] 50ug ¥1250 1周
AC1675 CD321单克隆抗体[3B2B3] 100ug ¥2200 1周

Tight junctions represent one mode of cell-to-cell adhesion in epithelial or endothelial cell sheets, forming continuous seals around cells and serving as a physical barrier to prevent solutes and water from passing freely through the paracellular space. The protein encoded by this immunoglobulin superfamily gene member is an important regulator of tight junction assembly in epithelia. In addition, the encoded protein can act as (1) a receptor for reovirus, (2) a ligand for the integrin LFA1, involved in leukocyte transmigration, and (3) a platelet receptor. Multiple 5' alternatively spliced variants, encoding the same protein, have been identified but their biological validity has not been established.



Aliases:    F11R;JAM; KAT; JAM1; JAMA; JCAM; PAM-1    

Entrez GeneID:    50848    

Swissprot :   Q9Y624    

WB Predicted band size :   32.6kDa    

Host/Isotype:    Mouse IgG1    

Species Reactivity:    Human    

Immunogen :   Purified recombinant fragment of human CD321 (AA: extra 28-238) expressed in E. Coli.    

操作说明

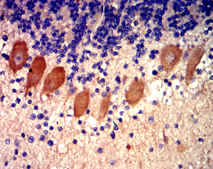
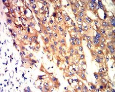
IHC    1/200 - 1/1000    

IF/ICC    1/200 - 1/1000    

FCM    1/200 - 1/400    

ELISA    1/10000    

参考文献