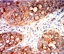
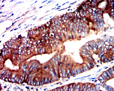
CD317单克隆抗体[7H212]

AccuSift
CD317 Mouse Monoclonal antibody[7H212]
BST2; TETHERIN
货号 名称 规格 价格 货期 数量
AC1671 CD317单克隆抗体[7H212] 50ug ¥1250 1周
AC1671 CD317单克隆抗体[7H212] 100ug ¥2200 1周

Bone marrow stromal cells are involved in the growth and development of B-cells. The specific function of the protein encoded by the bone marrow stromal cell antigen 2 is undetermined; however, this protein may play a role in pre-B-cell growth and in rheumatoid arthritis.



Aliases:    BST2; TETHERIN    

Entrez GeneID :   684    

Swissprot :   Q10589    

WB Predicted band size:    19.8kDa    

Host/Isotype:    Mouse IgG2a     

Species Reactivity :   Human    

Immunogen:    Purified recombinant fragment of human CD317 (AA: extra 49-161) expressed in E. Coli.    

操作说明

IHC    1/200 - 1/1000    

IF/ICC    1/100 - 1/500    

FCM    1/200 - 1/400    

ELISA    1/10000    

参考文献