CD19单克隆抗体[2E2B5]

AccuSift
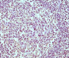
CD19 Mouse Monoclonal antibody[2E2B5]
B4; MGC12802; CD19
货号 名称 规格 价格 货期 数量
AC1549 CD19单克隆抗体[2E2B5] 50ug ¥1250 1周
AC1549 CD19单克隆抗体[2E2B5] 100ug ¥2200 1周

The CD19 antigen (95kDa) is expressed from the earliest stage of B progenitor development, on all
peripheral B cells including germinal centre B cells, and all B cell lines and B cell leukaemia
tested. T cell and monocytic cell lines are negative and the antigen is lost on B cell maturation
to plasma cells. The antigen is a type I integral membrane glycoprotein whose in vitro inhibition
will influence B cell activation and proliferation.


Aliases:    B4; MGC12802    

Entrez GeneID:    930    

Swissprot :   P15391    

Host/Isotype:    Mouse IgG2b    

Species Reactivity:    Human    

Immunogen:    Purified recombinant fragment of human CD19 expressed in E. Coli.    


操作说明

IHC    1/200 - 1/1000    

ELISA    1/10000    


参考文献