CD182单克隆抗体[7E9H1]

AccuSift
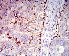
CD182 Mouse Monoclonal antibody[7E9H1]
CXCR2; IL8R2; IL8RA; IL8RB; CMKAR2; CDw128b
货号 名称 规格 价格 货期 数量
AC1544 CD182单克隆抗体[7E9H1] 50ug ¥1250 1周
AC1544 CD182单克隆抗体[7E9H1] 100ug ¥2200 1周

The protein encoded by this gene is a member of the G-protein-coupled receptor family. This protein is a receptor for interleukin 8 (IL8). It binds to IL8 with high affinity, and transduces the signal through a G-protein activated second messenger system. This receptor also binds to chemokine (C-X-C motif) ligand 1 (CXCL1/MGSA), a protein with melanoma growth stimulating activity, and has been shown to be a major component required for serum-dependent melanoma cell growth. This receptor mediates neutrophil migration to sites of inflammation. The angiogenic effects of IL8 in intestinal microvascular endothelial cells are found to be mediated by this receptor. Knockout studies in mice suggested that this receptor controls the positioning of oligodendrocyte precursors in developing spinal cord by arresting their migration. This gene, IL8RA, a gene encoding another high affinity IL8 receptor, as well as IL8RBP, a pseudogene of IL8RB, form a gene cluster in a region mapped to chromosome 2q33-q36. Alternatively spliced variants, encoding the same protein, have been identified.



Aliases:    CXCR2; IL8R2; IL8RA; IL8RB; CMKAR2; CDw128b    

Entrez GeneID:    3579    

Swissprot :   P25025    

WB Predicted band size:    40.8kDa    

Host/Isotype:    Mouse IgG1    

Species Reactivity :   Human    

Immunogen  :  Purified recombinant fragment of human CD182 expressed in E. Coli.    

操作说明

IHC    1/200 - 1/1000    

FCM    1/200 - 1/400    

ELISA    1/10000    

参考文献