CD177单克隆抗体[2F289]

AccuSift
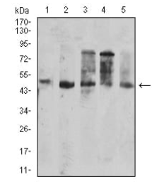
CD177 Mouse Monoclonal antibody[2F289]
NB1; PRV1; HNA2A; PRV-1; HNA-2a; NB1 GP
货号 名称 规格 价格 货期 数量
AC1533 CD177单克隆抗体[2F289] 50ug ¥1250 1周
AC1533 CD177单克隆抗体[2F289] 100ug ¥2200 1周

This gene encodes a glycosyl-phosphatidylinositol (GPI)-linked cell surface glycoprotein that plays a role in neutrophil activation. The protein can bind platelet endothelial cell adhesion molecule-1 and function in neutrophil transmigration. Mutations in this gene are associated with myeloproliferative diseases. Over-expression of this gene has been found in patients with polycythemia rubra vera. Autoantibodies against the protein may result in pulmonary transfusion reactions, and it may be involved in Wegener's granulomatosis. A related pseudogene, which is adjacent to this gene on chromosome 19, has been identified.



Aliases:    NB1; PRV1; HNA2A; PRV-1; HNA-2a; NB1 GP    

Entrez GeneID:    57126    

Swissprot :   Q8N6Q3     

WB Predicted band size:    46.4kDa    

Host/Isotype:    Mouse IgG2b    

Species Reactivity:    Human    

Immunogen :   Purified recombinant fragment of human CD177 (AA: extra 22-161) expressed in E. Coli.    

操作说明

WB    1/500 - 1/2000    

FCM    1/200 - 1/400    

ELISA    1/10000    

参考文献