CD172b单克隆抗体[1B1G4]

AccuSift
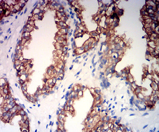
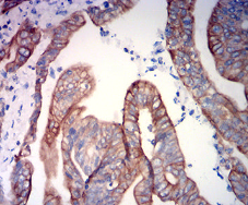
CD172b Mouse Monoclonal antibody[1B1G4]
SIRPB1; SIRP-BETA-1
货号 名称 规格 价格 货期 数量
AC1529 CD172b单克隆抗体[1B1G4] 50ug ¥1250 1周
AC1529 CD172b单克隆抗体[1B1G4] 100ug ¥2200 1周

The protein encoded by this gene is a member of the signal-regulatory-protein (SIRP) family, and also belongs to the immunoglobulin superfamily. SIRP family members are receptor-type transmembrane glycoproteins known to be involved in the negative regulation of receptor tyrosine kinase-coupled signaling processes. This protein was found to interact with TYROBP/DAP12, a protein bearing immunoreceptor tyrosine-based activation motifs. This protein was also reported to participate in the recruitment of tyrosine kinase SYK. Multiple transcript variants encoding different isoforms have been found for this gene.



Aliases:    SIRPB1; SIRP-BETA-1    

Entrez GeneID :   10326    

Swissprot :   O00241    

WB Predicted band size :   43.2kDa    

Host/Isotype :   Mouse IgG1    

Species Reactivity:    Human    

Immunogen;    Purified recombinant fragment of human CD172b (AA: extra 72-309) expressed in E. Coli.    

操作说明

IHC    1/200 - 1/1000    

IF/ICC    1/50 - 1/200    

FCM    1/200 - 1/400    

ELISA    1/10000    

参考文献