CD166单克隆抗体[2F112]

AccuSift
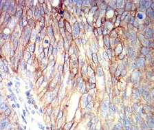
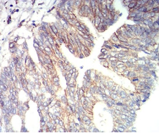
CD166 Mouse Monoclonal antibody[2F112]
MEMD; ALCAM
货号 名称 规格 价格 货期 数量
AC1518 CD166单克隆抗体[2F112] 50ug ¥1250 1周
AC1518 CD166单克隆抗体[2F112] 100ug ¥2200 1周

This gene encodes activated leukocyte cell adhesion molecule (ALCAM), also known as CD166 (cluster of differentiation 166), which is a member of a subfamily of immunoglobulin receptors with five immunoglobulin-like domains (VVC2C2C2) in the extracellular domain. This protein binds to T-cell differentiation antigene CD6, and is implicated in the processes of cell adhesion and migration. Multiple alternatively spliced transcript variants encoding different isoforms have been found.



Aliases:    MEMD; ALCAM    

Entrez GeneID:    214    

Swissprot:    Q13740    

WB Predicted band size:    65kDa    

Host/Isotype :   Mouse IgG1    

Species Reactivity:    Human    

Immunogen:    Purified recombinant fragment of human CD166 (AA: extra 227-381) expressed in E. Coli.    

操作说明

WB    1/500 - 1/2000    

IHC    1/200 - 1/1000    

FCM    1/200 - 1/400    

ELISA    1/10000    

参考文献