CD133单克隆抗体[3F10]

AccuSift
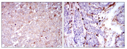
CD133 Mouse Monoclonal antibody[3F10]
RP41; AC133; CD133; MCDR2; STGD4; CORD12; PROML1; MSTP061
货号 名称 规格 价格 货期 数量
AC1473 CD133单克隆抗体[3F10] 50ug ¥1250 1周
AC1473 CD133单克隆抗体[3F10] 100ug ¥2200 1周

This gene encodes a pentaspan transmembrane glycoprotein. The protein localizes to membrane protrusions and is often expressed on adult stem cells, where it is thought to function in maintaining stem cell properties by suppressing differentiation. Mutations in this gene have been shown to result in retinitis pigmentosa and Stargardt disease. Expression of this gene is also associated with several types of cancer. This gene is expressed from at least five alternative promoters that are expressed in a tissue-dependent manner. Multiple transcript variants encoding different isoforms have been found for this gene.



Aliases:    RP41; AC133; CD133; MCDR2; STGD4; CORD12; PROML1; MSTP061    

Entrez GeneID :   8842    

Swissprot:    O43490    

WB Predicted band size:    133kDa    

Host/Isotype:   Mouse IgG1    

Species Reactivity :   Human    

Immunogen :   Synthesized peptide of human CD133.    

操作说明

IHC    1/200 - 1/1000    

FCM    1/200 - 1/400    

ELISA    1/10000    

参考文献